-

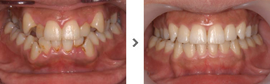
- 치아교정전후사례
- 치아를 뽑지않고 위아래 덧니를 자연스럽게 집어넣어서 가지런하게 만든 치료사례입니다.
-

- 치아교정전후사례
- 설측교정으로 삐뚤삐뚤한 치아를 가지런히 하고 오른쪽 위앞니는 선척적으로 작아서 보철물로 자연스러운 모습을 맞춘 교정치료입니다.
-

- 치아교정
- 위아래 2개씩의 치아를 발치하고 전체교정을 시행한 치료사례입니다.
-

- 튀어나온 앞니 치아 교정
- 교정 후 튀어나왔던 앞니가 들어가면서 입도 많이 들어갔습니다.
-

- 삐뚤삐뚤한 치아 교정
- 매우 가지런히 정렬 되었습니다.