교정진료에 새롭게 떠오르는 시스루 교정
시스루 투명교정이란?
투명교정은 투명 강화 플라스틱으로 내 치아에 맞게 제작하여 꼈다 뺏다 할 수 있는 장치입니다.
시스루 투명교정은 교정 중에도 환하게 웃을 수 있는 심미성이 매우 우수한 교정장치 입니다.
투명강화 플라스틱으로 환자의 치아에 맞게 제작하여 뺐다 꼈다 할 수 있으며 교정치료 중에도 일반 치과 치료가 가능하여 환자의
구강 관리에도 매우 효율적 입니다.
기공사의 능력에 따라 결과가 상이하던 수작업 제작 방식을 탈피하여 교정 전문의가 정확한 진단 및 분석을 하며 그 정보를 토대로
숙련된 기공사가 첨단의 3D 시뮬레이션 분석 프로그램과 3D 프린팅 기술을 사용하여 신뢰 할 수 있는 장치를 제작하고 있습니다.
| |
시스루투명교정 |
인비절라인 |
기존의 기공작업 통한 투명교정 |
| 장치의 투명성 |
투명한 소재 사용 |
투명한 소재 사용 |
투명한 소재 사용 |
| 제작 기간 |
3~7일(도서지역은 좀더 걸릴 수 있음) |
3주 |
7일 |
| 제작 과정 |
- 3D 스캐너로 구강 또는 모델을 스캔함.(인상 채득과정의 오차 최소화)
- 교정분석프로그램으로 3차원적 치아이동 시뮬레이션
- 교정전문 3D 프린터를 이용하여 정밀 제작(16마이크론=0.016mm) |
한국에서 인상채득 후
미국에서 제작 및 한국으로 배송 |
수작업 단계가 복잡함.
(수작업으로 석고 모델을 잘라서 만듦.)
정밀 작업 불가, 예측불가.
한 단계씩만 제작 가능. |
| 정교성 |
모든 과정이 디지털화 되어 정확도와 정밀도 높음 |
모든 과정이 디지털화 되어
정확도와 정밀도 높음 |
수작업으로 기공 능력에 따라 정교함의 차이가 큼 |
| 가격 |
국내제작, 합리적인 가격 |
170 ~ 270만원
(경우에 따라 다름) |
단계별 5~7만원 |
| 교정기간 |
평균 6 ~ 10 개월
(정확도가 뛰어나 기간 짧음) |
6 ~ 10 개월 이상 |
6개월 (어려운 교정 불가능하므로) |
- 투명한 장치로 탁월한 심미성이 돋보이는 교정
- 착탈식 장치로 위생적인 교정
- 식사나 중요한 미팅 시 뺄 수 있는 교정
- 장기 출장이나 어학연수 중에도 가능한 교정
- 편안한 양치로 교정 중의 충치 가능성이 적은 교정
- 브라켓 탈락이나 철사에 찔리는 등의 불편이 없는 교정
- 순수 국내 제품으로 시간과 비용, 효과 면에서 탁월한 교정
치료과정 및 제작과정
-
- STEP1 환자상담
-
치과에서 환자에게 시스루 투명교정에 대한 일반적인 상담을 진행합니다. 시스루 투명교정 상담 가이드를 제공합니다.
-
- STEP2 치과
-
1) 환자의 구강 내(상하악 교합면, 정면, 좌우측면) 사진을 촬영합니다.
환자 얼굴(정면, 좌/우측면, 스마일라인) 사진을 촬영합니다.
2) 석고 모델 또는 러버 인상체를 준비합니다.
3) X-ray 사진(파노라마, 세팔로)을 준비합니다.
-
- STEP3 기공의뢰
-
모델은 시스루 투명교정 모델전용 기공상자에 넣어 (주)시스루테크로 기공물을 의뢰합니다 (택배) .
치과의사의 지시대로 기공물 제작시, 필요한 경우 자료를 이메일로 보내주세요.
시스루테크에서는 의료기사법 제10조 (비밀누설의 금지) 에 따라 환자의 비밀 보호를 철저히 보장합니다.
: 의료기사 등은 이 법 또는 다른 법령에 특별히 규정된 경우를 제외하고는 업무상 알게 된 비밀을 누설하여서는 아니 된다.
-
- STEP4 3D스캔
-
시스루테크에서 구강 또는 모델을 3D 스캐너로 스캔합니다.
디지털 스캔 방식으로 인상 채득 과정의 오차를 최소화 합니다.
-
- STEP5 시뮬레이션 제작
-
치과에서 치과의사가 환자 자료를 진단 및 분석하여 시스루테크(주)에 의뢰 하면, 시스루테크에서는 치과의사가 의뢰한 대로 3차원적 치아 모형으로 셋업 및 시뮬레이션을 제작합니다.
-
- STEP6 3D시뮬레이션 제작하여 자료제공
-
분석한 정보를 치과의사가 확인할 수 있는 Analysis Report와 환자에게 상담이 가능한 3D 시뮬레이션으로 제작하여 자료를 제공합니다.
-
- STEP7 분석자료를 토대로 환자상담
-
분석 자료를 토대로 환자와의 상담을 진행합니다.
3D 시뮬레이션으로 치아의 이동과정 및 최종 예상결과를 확인할 수 있어 환자분들의 이해가 빠릅니다.
-
- STEP8 시스루 투명교정 장치 제작
-
시스루 투명교정 장치 제작
1) 분석 자료를 토대로 단계별 3D 프린터로 모형 제작을 합니다.
2) SCHEU 사의 베큠 포머에 시스루 투명교정 장치를 위해 제작된 특수강화 플라스틱을 넣고 교정 장치를 제작합니다.
(SCHEU 사의 베큠 포머는 일반 옴니백이라 불리는 베큠 포머보다 압력도 강하며 장치의 미세 재현율이 훨씬 더 우수합니다.)
-
- STEP9 치과로 장치배송
-
완성된 시스루 투명교정 장치를 치과로 배송합니다.
-
- STEP10 교정장치 장착
-
환자분께 교정장치를 장착해드립니다.
가이드 드리는 기간 동안 착용하고 치과로 내원하여 다음 단계로 교체하여 교정 진료를 진행합니다.
(장치 사용방법 및 주의사항 가이드도 보내드립니다.)
환자분들의 상황에 따라 한꺼번에 제작하여 제공도 가능합니다.
치료대상
대부분의 치성 부정교합은 투명교정으로 교정치료가 가능합니다.
다만, 수술이 필요한 심한 비대칭이나 골격성 부정교합은 투명교정으로 치료가 어렵습니다.
기존의 전통적인 교정치료를 통해 이루어졌던 대부분의 치아 이동이 투명교정장치만으로 가능하며, 일부 치근이동, Extrusion과 같은 치아이동은 Attachment 또는 mini screw가 필요할 수 있습니다.
Crowding(덧니)
심하지 않은 경미한 Crowding의 경우 발치 없이 Stripping으로 해결 가능하며, 중등도 이상의 Crowding은 발치 후 mini screw 또는 Attachment를 통한 투명교정치료가 이루어 지게 됩니다.
Intrusion & Extrusion (과개교합, 개방교합)
Intrusion의 경우 부가적인 장치 없이 투명교정 장치만으로 대부분 해결 가능하며, Extrusion의 경우 Attachment가 필요합니다. 이 경우 저희가 임상지원팀을 통해 Attachment 장착에 필요한 정확한 매뉴얼을 보내드리게 됩니다.
Spacing (벌어진 치아)
투명교정으로 치료가 잘 이루어지는 Case중 하나이며, 치아 사이 공간의 정도에 따라 저희가 분석 후 추가적인 보철치료 또는 임플란트 치료 필요 여부를 알려드립니다.
Extraction case (발치 케이스)
교정전문의가 직접 분석 후 발치가 필요하다는 진단이 내려지면, 발치 후에 투명교정치료가 이루어지게 됩니다. 이 때 필요한 Attachment 부착 및 mini screw 식립도 가능합니다.
Relapse case (재발 케이스)
브라켓을 통한 교정 후에 재발이 일어난 경우, 다시 브라켓을 붙이지 않고 투명교정으로 간단히 해결 가능합니다. 또한 교정이 마무리 된 후 투명교정장치를 유지장치로 사용할 수 있습니다.
시술전후 사진
-

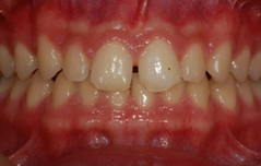
- Case 6 : 방 O O (여, 45세)
- 상,하악 Spacing 해결
총 10단계 (8개월)
-

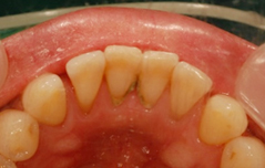
- Case 5 : 정 O O
- 치아사이 공간, 치축변경
총 10단계 (7개월)
-

- Case 4 : 이 O O (남, 37세)
- 전치부 Diastema
총 8단계 (6개월)
-

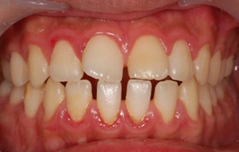
- Case 3 : 김 O O (여, 33세)
- 상, 하악 Spacing 해결
총 10단계 (8개월)
-

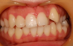
- Case 2 : 최 O O (여, 27세)
- 상악 전치부 Crowding
Crossbite 해결
총 17단계 (1년)
-

- Case 1 : 용 O O (여, 29세)
- Diastema, Cross bite, 돌출입
총 17단계 (1년)